Pourquoi votre santé cardiovasculaire est-elle si cruciale?
Les maladies cardiovasculaires demeurent les premières causes de décès en Amérique du Nord. Beaucoup de ces maladies débutent silencieusement, ne dévoilant des symptômes que lorsqu’il est trop tard. Maintenir une santé cardiovasculaire ne signifie pas uniquement longévité, mais surtout qualité de vie. C’est profiter d’années actives et fructueuses avec ses proches, poursuivre ses passions sans entrave et profiter d’une vie pleine de vitalité.

Comment évaluer l’état de nos artères?
Un des moyens non-irradiant et accessible est d’évaluer l’épaisseur de l’intima-média de vos artères carotides (CIMT) sous échographie.
Un test CIMT est un examen échographique fiable et non invasif qui mesure l’épaisseur des deux couches internes de vos artères carotides. Au fur et à mesure que la plaque s’accumule, ces couches internes s’épaississent – un signe précoce d’athérosclérose, menant souvent à des maladies cardiaques et des accidents vasculaires cérébraux.
Pourquoi faire un test CIMT ?
Le test CIMT a détecté 98,6 % des crises cardiaques et des AVC AVANT qu’ils ne se produisent lors d’une étude de 10 ans portant sur 100 000 personnes*.
De nombreux patients atteints des stades précoces et intermédiaires de l’athérosclérose ne présentent aucun signe ou symptôme apparent de la maladie.
Jusqu’à 50 % des patient(es) qui sont décédés des complications de l’athérosclérose n’avaient aucun signe ou symptôme préalable.
Jusqu’à 50 % des patient(es) qui sont décédés des complications de l’athérosclérose démontraient des taux de cholestérol conformes aux directives actuelles.
Il est important de noter qu’avec des interventions appropriées, l’accumulation de plaques peut être stoppée, voire inversée, offrant ainsi une perspective optimiste à ceux qui cherchent à améliorer leur santé cardiovasculaire.

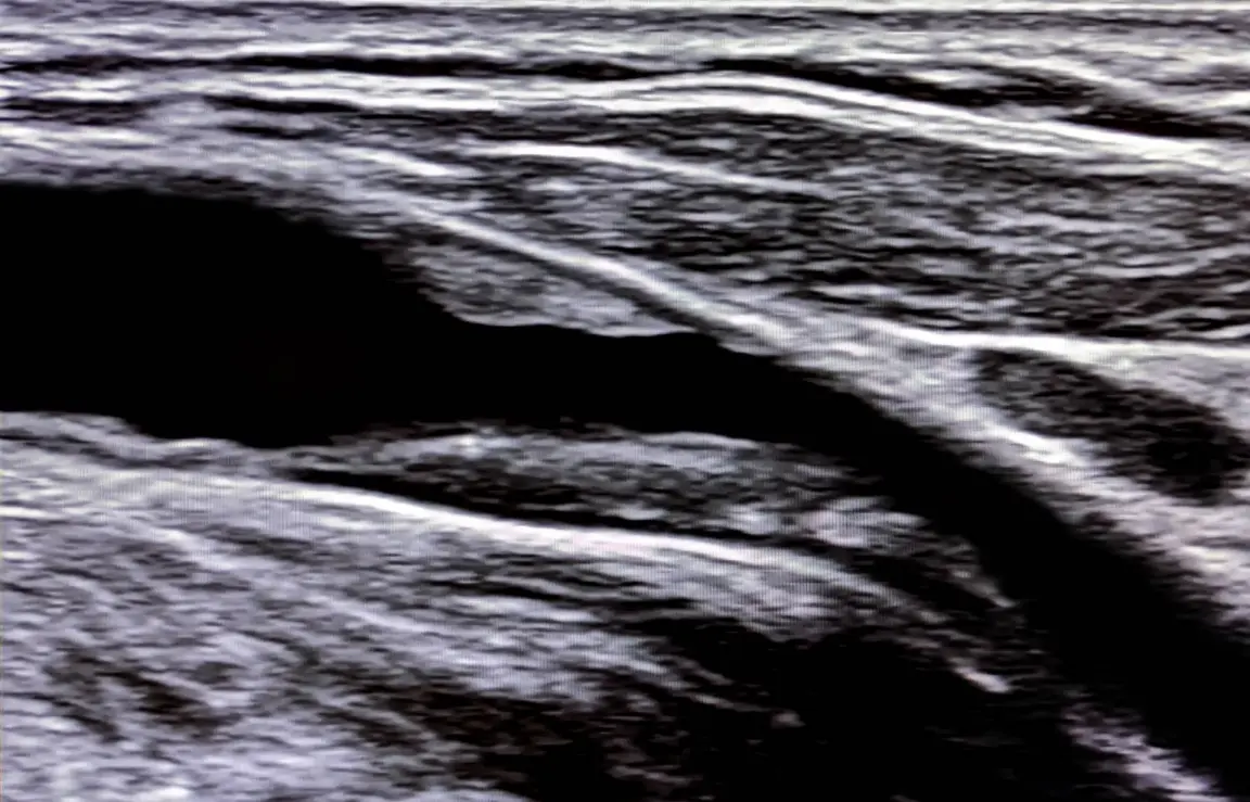
Artère carotide saine sans plaque

Artère carotide avec plaques très épaisses
Intéressé par un test CIMT ?
Un test CIMT est un examen médical spécialisé qui nécessite une prescription de votre médecin. Vous y pensez ?Discutez-en avec votre médecin ! Il évaluera si passer un test CIMT est approprié pour vous.
Vous avez déjà une prescription pour un CIMT ou une échographie carotidienne?
Pas de prescription ?
Pas de souci ! Nous recommandons une consultation avec Dr Chadnova.
Dr Chadnova est un médecin de famille spécialisé en médecine de longévité
Elle évaluera votre santé métabolique et vasculaire, vous donnera des conseils personnalisés, et prescrira tout tests pertinents, y compris le CIMT si cela vous convient.

Planifiez une consultation avec le Dr Chadnova dès aujourd’hui !
Pourquoi choisir la Clinique Sonosimple pour votre test CIMT ?
- Expertise Certifiée
Nos technologues en échographie, médecin et radiologue apportent des années d’expérience et une compétence certifiée en échographie vasculaire. Votre santé est notre priorité, et la précision notre promesse.
- Rapport Complet
Nos rapports détaillés vous fournissent toutes les informations nécessaires, dans un format facile à comprendre qui inclut une estimation de votre âge vasculaire.
- Données Fiables
Nos rapports utilisent des données de l’étude ARIC (Atherosclerosis Risk in Communities).


Aperçu de l’étude ARIC
- ARIC a inscrit environ 16 000 adultes de quatre communautés américaines et les a suivis pendant 30 ans.
- L’étude a aidé à évaluer les taux de crises cardiaques, les hospitalisations dues à l’insuffisance cardiaque, et les décès dus aux maladies cardiaques chez plus de 400 000 adultes.
- Les résultats ont influencé les directives cliniques que les médecins utilisent maintenant pour traiter la maladie coronarienne, le diabète, les AVC, et la maladie rénale chronique.
- ARIC a conduit à la publication de plus de 1 800 articles scientifiques. Pour en savoir plus :
https://aric.cscc.unc.edu/aric9/>